06/12/2025
pareidolia
AI imaging is reshaping modern healthcare, enabling accurate diagnosis, treatment planning, and clinical decision support. But behind every powerful AI model lies one essential foundation: high-quality medical image segmentation, precise annotation with stringent quality control. Pareidolia Systems specializes in delivering this foundation, creating structured, validated imaging datasets that enable high-performance AI across clinical disciplines. These processes turn raw scans into structured datasets that AI systems can reliably learn from, making them the backbone of clinically trustworthy healthcare AI.
Below are the top 10 real-world use cases where segmentation drives innovation in healthcare AI imaging.
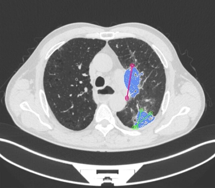
1. Tumor Detection and Delineation
Segmentation allows AI to precisely outline tumor boundaries, differentiate solid vs. necrotic regions, and track volumetric changes over time. This enhances diagnostic confidence, improves treatment planning, and supports personalized radiotherapy dose optimization.
2. Organ and Tissue Segmentation
Accurate segmentation of organs and soft tissues helps AI measure volumes, analyze structural variations, and detect early morphological abnormalities. This ensures a consistent organ-level context for downstream tasks like lesion detection and surgical planning.
3. Brain Mapping for Neurological Disorders
Detailed segmentation of cortical and subcortical regions enables AI to detect ischemic cores, hemorrhages, microvascular changes, and neurodegeneration with fine-grained anatomical accuracy. It supports stroke triaging, epilepsy mapping, dementia studies, and longitudinal brain monitoring.
4. Cardiovascular and Vessel Analysis
AI-driven vessel and chamber segmentation allows quantification of stenosis, plaque composition, aneurysm morphology, and cardiac functional metrics like ejection fraction. These segmentations underpin modern cardiovascular risk stratification and interventional planning.
5. Musculoskeletal & Orthopedic AI
Bone, cartilage, tendon, and ligament segmentation enhances AI algorithms that evaluate fractures, joint degeneration, cartilage loss, and implant alignment. It enables automated measurements for orthopedic decision-making and supports pre-operative surgical workflows.

6. 3D Modeling for Surgery & Simulation
High-resolution segmentation fuels the creation of patient-specific 3D anatomical models for surgical rehearsals, robotic navigation, implant design, and digital twin simulations. These models enhance surgical precision and reduce intraoperative uncertainty.
7. Automated Radiology Workflow AI
Segmented structures help AI auto-detect key findings, pre-label abnormalities, triage critical scans, and auto-populate structured reports. This reduces radiologist workload, accelerates turnaround time, and improves consistency across large imaging volumes.
8. Disease Progression Tracking
Time-series segmentations allow AI to quantify progression or response — such as tumor shrinkage, cavity expansion, edema reduction, or organ atrophy. This facilitates accurate follow-up assessments, research analytics, and treatment efficacy monitoring.
9. Radiomics Feature Extraction
Segmentation defines the exact boundaries for extracting radiomic features related to intensity, texture, shape, and heterogeneity. These features power predictive models for prognosis, treatment response, risk scoring, and precision-medicine workflows.
10. Training & Validation of AI Models
Segmentation provides the ground truth needed to train high-performance AI, benchmark model accuracy, assess clinical validity, and meet regulatory requirements. Robust segmentation datasets reduce bias, improve generalizability, and ensure safe clinical deployment.
Essential Tools Used in Medical Image Segmentation & Annotation
Building reliable Healthcare AI systems depends not only on high-quality data, but also on the right tools for segmentation, annotation, and 3D model creation. Here are some of the most widely used platforms in the industry, each playing a unique role in preparing medical images for AI training and validation:
- 3D Slicer: Open-source platform for semi-automatic segmentation and 3D visualization.
- ITK-SNAP: Fast manual and active-contour segmentation for precise ROI labeling.
- Materialise Mimics: High-accuracy 3D modeling software used in surgical planning and device design.
- RedBrick AI: Cloud-based annotation system optimized for scalable, AI-ready medical datasets.
- MONAI Label: AI-assisted auto-segmentation tool integrated with clinical workflows.
How Pareidolia Strengthens the Entire Segmentation Pipeline
Pareidolia doesn’t just “use” these tools — it orchestrates them into a medically-validated, scalable, and quality-centric pipeline purpose-built for Healthcare AI teams.

Pareidolia adds value through:
A. Pixel-level precision across CT, MRI, X-ray & Ultrasound: Meticulous segmentation workflows tailored to each modality, ensuring anatomical boundaries are captured with maximum clarity.
B. Standardized, multi-class annotation protocols: Custom labeling schemas developed with clinical advisors to ensure consistency and interoperability across entire datasets.
C. High-fidelity 3D anatomical models: Surgical-grade reconstructions for AI training, simulation, pre-operative planning, and biomechanics modeling.
D. Multi-stage quality control checkpoints: each annotated imaging data undergoes multi-step expert validation to achieve the highest quality of the annotated data.
E. Scalable operations for enterprise AI imaging projects: Optimized workforce + tooling integration enabling high throughput without sacrificing clinical rigor.
By combining the right tools with domain expertise, Pareidolia ensures every dataset is consistent, transparent, traceable, and ready for healthcare AI model training.
The Future of Medical Image Segmentation in Healthcare AI
Recent industry reports show that the global medical image analysis AI market is projected to surpass $10 billion by 2030, with segmentation workflows making up one of the fastest-growing categories due to increasing adoption in radiology, oncology, and surgical planning.
As healthcare systems transition toward automation-driven diagnostics, segmentation will play a defining role. High-quality annotations will fuel more robust clinical models, streamline image-based decision-making, and support scalable AI deployments across hospitals. From precision oncology to real-time surgical assistance, segmentation is set to become a foundational layer in next-generation medical AI pipelines — enabling faster diagnoses, reduced clinician workload, and safer patient outcomes.
Unlock the full potential of your imaging datasets with Pareidolia Systems. From pixel-perfect segmentation and expert annotation to 3D modeling and rigorous quality control, we deliver AI-ready datasets that accelerate model development and clinical impact.
Book a Free Demo Today and see how your data can power the next generation of healthcare AI solutions.
19/12/2025
pareidolia
3D Printing in Neurosurgery: How Neurologists Use 3D Models for Aneurysm Surgery Planning
As artificial intelligence continues to reshape the healthcare ecosystem, one area seeing rapid advancement is…
Read More
06/12/2025
pareidolia
Top 10 Usages of Medical Image Segmentation Tools in Healthcare AI
AI imaging is reshaping modern healthcare, enabling accurate diagnosis, treatment planning, and clinical decision support.…
Read More
01/12/2025
pareidolia
The Secret Key to Better AI Diagnosis: Why Accurate Segmentation is the best Way to Save Hypodense Lesion Prediction
In today’s medical imaging world, accuracy alone is no longer enough. Healthcare teams need to…
Read More
18/11/2025
pareidolia
The Blueprint for Better Stroke Care:How Pareidolia’s Precise Annotations Are Training Life-Saving AI
In 2025, stroke is the second leading cause of death globally, causing 3.6 million deaths.…
Read More
04/11/2025
pareidolia
Moving Beyond Detection: How Our Annotated Data Helps AI Predict and Stratify Prostate Cancer
Approximately 1.5 million men were diagnosed with prostate cancer globally. Prostate cancer is the fourth…
Read More