We specialize in creating high-quality 3D models from 2D medical images, employing advanced software tools and techniques. Through the process of rebuilding anatomical structures in three dimensions, complicated medical scenarios could be understood easier. 3D models facilitated better visualization of anatomical relationships and pathology, aiding in surgical planning, education, and research. They improved communication between physicians by giving medical data anatomical representation. We had expertise in creating 3D models of all vascular structures in CECT and NCCT studies, producing accurate models.
A crucial difference in today’s healthcare environment is that modern medical imaging technology has fundamentally reshaped how healthcare professionals diagnose and treat their patients and plan surgeries. One revolutionary advancement in this area is 3D model creation — the process of transforming conventional 2D medical imaging into intricate yet interactive 3D models. VR is not the only application for these models; Surgery, virtual surgery planning, 3D MRI reconstructions, CT scan modeling, and the list goes on, all rely on the use of these models – and that is what the future is all about! Such technologies enable healthcare providers to make better decisions and provide personalized care to patients.
This comprehensive guide will cover what 3D modeling is, the technologies involved, how they are revolutionizing healthcare, and their sizeable impact on medical procedures the world over. We’ll explore the underlying technologies, such as 3D medical imaging, image segmentation. And virtual surgical planning which in many ways enables these models, as well as the future they offer.
What is 3D Model Creation in Healthcare?
3D model creation in healthcare is the process of turning medical imaging data generated by modalities such as MRI and CT scans into digital tridimensional representations of the human body. These three-dimensional (3D) models enable a comprehensive, precise, and immersive visualization of anatomical features, allowing healthcare professionals to seek better comprehension of complex disorders and devise treatment plans more accurately.
3D reconstruction of MRI and 3D models of CT scans. (This is true for MRIs, which convert images of the body’s soft tissues, and for CT scans, which translate bones into highly accurate 3D visualizations that can be inspected in significantly more detail than 2D images.) This last step has transformed everything from diagnostic imaging to surgical planning, across a wide range of medical specialties.

In Healthcare, The Benefits of 3D Model Generation
The advantages of adding 3D model creation to the practice of healthcare are many:
According to commonly available information in 3D printing, one of the common applications of 3D model creation is Enhanced Visualization: A clear, better, and accurate visualization of anatomical structures in 3D models allows healthcare professionals to see the human body in a matter of seconds that 2D images cannot provide.
Enhanced Diagnostics:
3D medical imaging allows physicians to diagnose and evaluate a condition more precisely, in the case of a tumor, fracture, or congenital defect. Detailed visualizations enable doctors to identify problems that can be less apparent from conventional imagery.
Using the 3D model, they can create interventions tailored to the individual anatomy and condition of the patient, allowing for improved treatment outcomes.
Virtual Surgical Planning
Allowing surgeons to plan/pre-plan their surgical procedures on the 3D model creation before carrying them out on the patient. This enables us to better plan the surgical approach, mitigate risks, and improve surgical outcomes.
Enhanced Patient Understanding:
Patients can understand their medical conditions and treatment protocols better through 3D models. These models provide an intuitive, visual representation of what is happening inside the body, supporting better decision-making.
Custom Prosthetics and Implants:
3D models can be utilized to create bespoke prosthetics and implants that conform perfectly to a patient’s anatomy. By personalizing these, their utility and comfort are highlighted
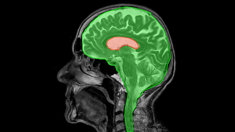
Understanding MRI 3D Reconstruction and Its Importance
MRI 3D reconstruction is a technique that enables healthcare professionals to transform traditional MRI data into a 3D model. This is especially helpful in viewing soft tissue areas including the brain, muscles, heart, and other organs. While CT scans are preferred when imaging bones and dense objects, MRI 3D reconstruction can provide a much clearer view of soft tissues, making MRI Scans ideal for neurological, cardiovascular, and musculoskeletal imaging.
The capability of creating 3D models from MRI data offers several significant benefits:
MRI 3D reconstruction helps to see soft tissues in more detail allowing healthcare professionals to observe subtle abnormalities or changes in the tissues.

Non-invasive:
As MRI scans are non-invasive and radiation-free, MRI 3D reconstruction is a safe method of creating detailed models of soft tissues, particularly in delicate regions such as the brain.
It can help surgeons plan complex surgeries such as brain tumors, neurological diseases, or cardiac surgery. As it gives them a full view of the soft tissue structures.
Tracking disease progression:
Doctors can use 3D models made with MRI scans at different stages of a disease to monitor its progression and tailor treatment plans.
3D Models of CT SCAN: Visualizing Bone Accuracy
At first, CT scan 3D models provide a specific and highly detailed interpretation of bones, tissues, and organs. CT scan is based on capturing multiple cross-sectional body images using X-rays and processing these images to create a 3D model.
CT scan models are extremely useful in medical specialties like ortho, trauma, and dental surgery. Here’s the process by which CT scans help create 3D models:
-
Bone Imaging:
CT scans offer high-resolution images of bone tissue, allowing for the detection of fractures, tumors, and bone deformities. Starting from the above CT views, 3D models are made to plan surgeries like joint replacements, spinal surgeries, etc.
-
Detailed Anatomical Visualizations:
Unlike other imaging technologies, CT scan 3D models offer a detailed view of the bones, surrounding soft tissue, and organs. This is a multi-dimensional visualization that helps in thorough diagnostics.
-
Pre-surgical planning:
With the help of 3D models from CT scans, 3D Scans can be used by surgeons to plan a procedure or optimal way to approach the surgery for surgeries involving bones such as orthopedic surgeries, spine surgeries, and dental implants.
3D Models in Virtual Surgical Planning
Virtual surgical planning is one of the most revolutionary uses of 3D model creation. Surgeons can simulate surgeries before performing them using 3D models created from MRI and CT scans. This helps surgeons plan their operations better, including what the best approach will be, which tools will work best, and what potential risks or complications could arise.
Advantages of virtual surgical planning include:
-
Minimized Surgical Risks:
Surgeons can plan for complexities in advance by practicing the surgery on a 3D model before the actual surgery, leading to a minimal risk of errors.
-
Enhanced Surgical Accuracy:
By providing a more realistic image of the patient’s anatomy through its detailed 3D models, it allows for greater precision in performing surgeries.
-
Quicker Recoveries:
Understanding how to best interact with the energetic ‘you’ before going under the knife can make the actual surgery go much faster, leading to faster recoveries.
-
Improved Results:
Surgeons utilizing virtual planning have demonstrated superior outcomes, with heightened accuracy, decreased complications, and quicker recovery periods.
3D Image Segmentation: The Foundation of Accurate Models
The 3D image segmentation is the crucial step in the development of right 3D models. It means extracting particular regions of interest (organs, tissues, or bones) from the original medical images. This means that the 3D model is an accurate representation of the structures being studied.

Necessary segmentation is to extract the brain from the surrounding skull or separate the various tissue types in 3D reconstruction MRI data, for instance. In CT scan 3D model creation, segmentation assists in isolating bones from soft tissues, highlighting an accurate representation of skeletal structures.
Segmentation algorithms utilizing AI and machine learning have greatly accelerated the speed of this process and increased its accuracy. This allows for the generation of highly detailed, patient-specific models that are crucial for accurate diagnostics and treatment planning.
AI for 3D Model Generation
Artificial Intelligence (AI) and machine learning have significantly advanced the field of 3D model generation. AI-powered tools automate the image segmentation process allowing healthcare professionals to create more accurate models in less time. These machine learning algorithms learn from large datasets, allowing them to fine-tune their ability to identify and delineate anatomical structures with high accuracy.
In addition, AI in the 3D models allows the enhancement of MRI 3D reconstruction and CT scan 3D models by optimizing the quality of the 3D model and fixing imperfections introduced by noise or low-resolution images. The start of something big in 3D: As AI advances, we will see it used more heavily to assist in the automation of producing and refining 3D models at high speed.
The Future of Building 3D Models in a Healthcare Setting
The landscape of 3D model creation in healthcare is a bright one. The importance of such technologies will undoubtedly increase, as accuracy, personalization, and efficiency improve with each new iteration of the underlying technologies involved, up to October 2023. Important trends to watch for in the future are:
Enhanced Immersion:
The integration of VR and AR into surgical planning can provide more intuitive ways to interact with 3D anatomical models. AR glasses could be used by surgeons to measure a patient’s body during surgery with digital models overlaid on top of it for live guidance.
Personalized Medicine:
Increasing utilization of 3D models will help create more personalized treatment plans. Doctors are using 3D model creation to analyze the individual patient anatomy and design highly customized treatment that improves outcomes.
AI and Automation:
The advancement of AI will lead to faster, more efficient, and more accurate creation of 3D models. This will enhance diagnostic workflows through automated segmentation and reconstruction, substantially increasing efficiency and decreasing human error.
Using improved technology, 3D model creation with 3D medical apps will become more communicable imparting the benefit of better healthcare services for patients in all corners of the world.
MRI 3D Reconstruction: Enhance Diagnostic Accuracy
The MRI 3D reconstruction is an advanced technology used to convert 2D MRI scans into detailed 3D models. These techniques improve the clarity of internal organs, tissues, and abnormalities and allow doctors to see their patients more clearly. The creation of these 3D MRI models enhances the precision of diagnoses, allowing doctors to detect complicated conditions such as brain tumors, nerve and joint problems, and vascular issues. MRI 3D reconstruction is established as an essential tool in helping healthcare professionals plan and monitor surgeries and treatments by utilizing artificial intelligence (AI) and deep learning algorithms. The hospitals can use this technology to provide better care, which leads to better patient outcomes and shorter recovery times.
Making The Diagnosis — CT Scan 3D Model
CT scan 3D models create clear, three-dimensional representations of the human body, detecting even slight changes to aid in disease diagnosis. Traditional CT scans produce 2D images, which can be challenging to interpret, especially for complex structures like bones, tissues, and organs. By converting these scans into 3D models, clinicians can more comprehensively assess fractures, tumors, and other abnormalities. This imaging modality is crucial in specialties such as orthopedics, oncology, and neurology. For instance, 3D CT models enable doctors to plan surgeries, measure tumors across dimensions, and identify bone fractures with greater precision than before. This allows for more informed decision-making and treatment planning, leading to improved patient care and better outcomes.
Virtual Surgical Planning: Preparation for Exact Surgery
Turing all the disparate imaging data into a three-dimensional format — often with the use of MRI and CT scans — is a relatively new technology known as Virtual Surgical Planning (VSP) [8]. Surgeons use this technology to see and simulate complex surgeries before actually performing them. Ultimately decreasing the risk involved with operations and the precision with which surgeries are executed. With detailed 3D anatomical visualizations, VSP enables the surgeries to be effectively planned, minimizing complications and enhancing recovery time. Not only are surgeons able to experiment with multiple surgical approaches inside a virtual environment and choose the best solution for their patients. In intricate surgeries, precision is of utmost importance. Making VSP a prominent contributor to operations in orthopedic surgeries, reconstructive surgeries, and maxillofacial surgeries.
Revolutionizing Healthcare: 3D Medical Imaging
The medical sector is evolving as 3D medical imaging enhances modern healthcare with detailed three-dimensional views of the human body, unlike traditional 2D imaging, which may lack precision. 3D images offer comprehensive views of internal structures such as bones, tissues, and organs. This technology is invaluable in specialties like neurology, cardiology, and oncology. So, where detailed images are essential for accurate diagnosis and treatment.
Integrating data from MRI, CT, and ultrasound scans into 3D medical imaging provides healthcare professionals. With a more comprehensive understanding of a patient’s condition. So, This integration leads to more precise diagnoses and personalized treatment plans. Additionally, 3D medical imaging enhances preoperative planning, ensuring surgeries are performed with the highest precision.
Accurate Medical Interpretation: 3D Image Segmentation
3D image segmentation is essential in medical image processing, helping clinicians analyze anatomical features from 3D medical scans. It separates tissues, organs, and abnormalities in MRI, CT, and ultrasound images. This enables the identification of conditions like tumors, heart diseases, and fractures. AI and machine learning enhance segmentation precision, leading to faster diagnoses and improved treatment planning. Surgeons rely on this technology during operations to focus on targeted areas with greater accuracy. Moreover, the segmentation of 3D images minimizes errors and improves the quality of medical services.
Advanced 3D imaging technologies, such as MRI 3D reconstruction and CT scan 3D models, are transforming healthcare. These tools offer medical professionals detailed views of the human body. This enhances their ability to diagnose, plan, and treat patients more effectively. This leads to improved outcomes and overall quality of care.
Health care driven by 3D model creation creativity has significantly changed the way we operate, including modified diagnostic tools, surgical planning, and treatment.
The future of 3D models
The future of 3D models in medicine is evolving with advanced technologies for 3D model creation. This will unlock new possibilities in patient management, including virtual surgical planning, custom implants, and prosthetics. As AI and machine learning improve, these models will become more accurate, accessible, and personalized. This advancement will enhance patient outcomes and create a more efficient healthcare ecosystem.
At last, the medical field is changing the creation of 3D models, and the future has more to offer. Technological advancements are redefining medicine, and enhancing patient experiences directly and indirectly. These innovations provide medical professionals with new methods to improve healthcare delivery.
