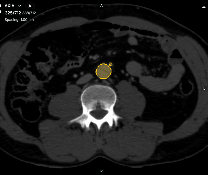
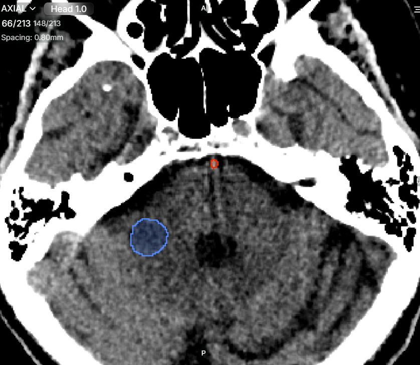
Our cutting-edge segmentation services utilized advanced algorithm platforms to accurately identify and delineate anatomical structures in medical images, which were crucial for effective diagnosis and treatment planning. These technologies enabled us to achieve high levels of accuracy in segmenting anatomical structures and pathological regions within medical images. The applications of medical image segmentation were vast, ranging from Aneurysm detection and organ delineation to the assessment of disease progression. By providing precise segmentation, we empowered healthcare Professionals to make informed decisions regarding diagnosis and treatment planning. We completed many segmentations with accuracy and quality across various parts of the body and different imaging modalities (Such as CT, MRI, DSA, etc.) covering a range of pathologies (Such as Occlusion, Infarct, Dissection, etc.) in multiple types of imaging (CTA, NCCT, MRA, etc.).
Medical Image Segmentation is a groundbreaking technology in modern healthcare, enhancing disease diagnosis, treatment planning, and medical research. With the integration of Deep Learning for Medical Imaging, medical professionals can extract crucial insights from images with unprecedented accuracy.
The role of AI in Radiology has expanded significantly, allowing for more precise and automated analysis of CT scans, MRIs, and X-rays. Advanced AI Medical Image Analysis techniques are now making it possible to identify diseases early, streamline clinical workflows, and improve patient care.
What is Medical Image Segmentation?
Medical Image Segmentation involves partitioning medical images into meaningful regions to identify specific structures such as organs, tissues, or abnormalities.This approach is crucial for many applications, including:
- CT Scan Segmentation for detecting lung diseases, tumors, and fractures.
- MRI Image Segmentation for neurological disorder analysis, including brain tumors and multiple sclerosis.
- Image Processing in Healthcare to enhance visualization and support diagnosis.
By leveraging medical image analysis AI, healthcare professionals can interpret complex medical images faster and more accurately than traditional methods.
Why is Medical Image Segmentation Important?
1. Improves Diagnosis Accuracy
Doctors can identify diseases at an early stage with greater precision. For instance, in cancer detection, segmentation helps locate tumors and measure their size accurately.
2. Enhances Treatment Planning
Surgeons use segmented images to plan operations more effectively. For example, in brain surgery, knowing the exact location of a tumor helps reduce risks and improve patient outcomes.
3. Speeds Up Medical Analysis
AI-powered segmentation reduces the time required to analyze medical images. This allows radiologists and doctors to focus on patient care rather than manual image interpretation.
4. Supports Medical Research
Researchers use segmented images to study diseases and develop new treatments. This technology is widely used in cancer research, neurology, and cardiology.

How Does Medical Image Segmentation Work?
Medical image segmentation uses various techniques, including:
- Thresholding – Separates objects in an image based on pixel intensity.
- Region-Based Segmentation – Groups pixels with similar characteristics to define different regions.
- Edge Detection – Identifies boundaries between different structures in an image.
- Deep Learning and AI – Advanced methods like Convolutional Neural Networks (CNNs) automatically learn to segment images with high accuracy.
Challenges in Medical Image Segmentation
Despite its benefits, medical image segmentation faces several challenges:
- Variability in Image Quality – Differences in image resolution, noise, and contrast can affect segmentation accuracy.
- Complexity of Medical Data – Human organs and tissues have complex shapes and structures, making segmentation difficult.
- Need for Large Datasets – AI-based segmentation requires extensive training data, which is often limited in the medical field.
Future of Medical Image Segmentation
With advancements in AI and machine learning, medical image segmentation is becoming more accurate and efficient. Future developments will focus on:
- Real-time segmentation for faster diagnosis
- Improved accuracy with AI-driven models
- Integration with robotic surgery for precision treatments
- Personalized treatment plans based on segmented images
AI and Deep Learning in Medical Image Segmentation
Deep Learning for Medical Imaging has transformed Medical Image Segmentation by introducing algorithms capable of learning patterns from vast datasets. Convolutional Neural Networks (CNNs), U-Net, and Transformer-based architectures have revolutionized segmentation accuracy, reducing human errors and expediting diagnosis.
Key Benefits of AI in Medical Image Segmentation:
- Increased Accuracy: AI-driven models can detect minute anomalies that the human eye might miss.
- Faster Diagnosis: AI accelerates CT Scan and MRI Image Segmentation, allowing doctors to diagnose conditions in real-time.
- Automation in Radiology: AI in Radiology minimizes manual segmentation efforts, improving efficiency.
Applications of Medical Image Segmentation
1. Early Disease Detection
- AI Medical Image Analysis is used in detecting lung nodules in CT Scan Segmentation, aiding early lung cancer diagnosis.
- MRI Image Segmentation assists in diagnosing brain disorders like Alzheimer’s and stroke.
- Image Processing in Healthcare improves dermatology image analysis for skin cancer detection.
2. Surgical Planning and Navigation
Surgeons rely on Medical Image Segmentation to plan procedures with precision. AI-generated 3D models assist in:
- Visualizing tumors and anatomical structures.
- Reducing surgical risks by mapping critical areas.
- Improving outcomes through precise intervention.
3. Radiation Therapy Optimization
In oncology, Deep Learning for Medical Imaging ensures accurate tumor boundary segmentation for radiation therapy. This minimizes damage to surrounding healthy tissues while targeting cancer cells effectively.
4. Real-Time Image Processing for Diagnosis
Hospitals and clinics use AI in Radiology to enhance real-time decision-making. AI-powered medical image analysis AI helps in:
- Automated detection of fractures and abnormalities.
- Image-guided interventions during minimally invasive surgeries.
- Efficient screening for conditions such as tuberculosis and cardiovascular diseases.

Challenges in Medical Image Segmentation
Despite its advantages, Medical Image Segmentation faces some challenges:
- Data Labeling Complexity: High-quality labeled datasets are needed for effective AI training.
- Variability in Image Quality: Differences in scanning techniques can affect segmentation accuracy.
- Computational Demands: Deep Learning for Medical Imaging requires powerful hardware and large datasets.
- Ethical and Regulatory Compliance: AI-driven Medical Image Segmentation must adhere to strict healthcare standards and patient privacy regulations.
Advanced Techniques in Medical Image Segmentation
- Supervised Learning Approaches
- U-Net and Mask R-CNN models enhance precision in AI Medical Image Analysis.
- Large annotated datasets improve training efficiency and segmentation accuracy.
- Unsupervised and Semi-Supervised Learning
- Reducing the dependency on annotated data by leveraging AI models that learn from raw medical images.
- Enhancing segmentation results through data augmentation and self-learning techniques.
- Federated Learning for Medical Imaging
- Secure AI model training across multiple hospitals without sharing patient data.
- Improving segmentation accuracy while ensuring patient privacy compliance.
- Integration with Multi-Modal Imaging
- Combining CT Scan Segmentation, MRI Image Segmentation, and PET scans to enhance diagnostic capabilities.
- Offering a more comprehensive view of diseases and improving treatment planning.
The Future of AI in Medical Image Segmentation
The future of Medical Image Segmentation is driven by continuous AI advancements. Key trends include:
- Self-Learning AI Models: AI that improves itself over time, enhancing segmentation accuracy.
- Cloud-Based AI Solutions: Making AI Medical Image Analysis accessible for hospitals with limited resources.
- Multi-Modal Image Integration: Combining CT Scan Segmentation, MRI Image Segmentation, and other imaging techniques for a comprehensive diagnostic approach.
- Explainable AI: Increasing transparency in AI decisions to build trust among healthcare providers.
- Edge AI in Healthcare: Running AI models directly on medical imaging devices for instant processing.

AI in Radiology: Revolutionizing Medical Imaging
Artificial Intelligence (AI) is transforming the field of radiology, making medical image analysis faster, more accurate, and highly efficient. AI-powered tools assist radiologists in detecting diseases, segmenting organs, and improving overall diagnostic precision.
How AI Enhances Medical Image Analysis
- Automated Image Processing
AI algorithms analyze CT scans, MRIs, and X-rays with high precision, reducing human error and speeding up diagnoses. - CT Scan & MRI Image Segmentation
AI can segment different parts of the body from CT and MRI scans, helping doctors identify tumors, organ structures, and abnormalities with great accuracy. - Faster & More Accurate Diagnoses
AI-powered radiology tools can detect diseases like cancer, lung infections, and neurological disorders in their early stages. - Improving Workflow Efficiency
AI reduces the workload of radiologists by automating repetitive tasks, allowing them to focus on complex cases.
Future of AI in Healthcare Imaging
With continuous advancements, AI is expected to improve patient care, enhance treatment planning, and make medical imaging more accessible worldwide.
Would you like me to expand on any specific area, such as AI tools for medical imaging or case studies?
This is a game-changer in modern healthcare, revolutionizing disease diagnosis, surgical planning, and treatment optimization. AI in Radiology and AI Medical Image Analysis continue to enhance precision, efficiency, and patient outcomes. With the integration of Deep Learning for Medical Imaging and Image Processing in Healthcare, the future of Image Segmentation holds immense promise for improving global healthcare standards. AI-driven segmentation will continue to evolve, making medical imaging more accessible, accurate, and beneficial to patients and practitioners alike.
From assisting radiologists in detecting diseases to aiding surgeons in performing complex procedures, image segmentation is paving the way for a future where technology and medicine work together seamlessly. As research and innovation continue, the impact of this technology on the medical field will only grow, making healthcare more efficient, accurate, and accessible.
