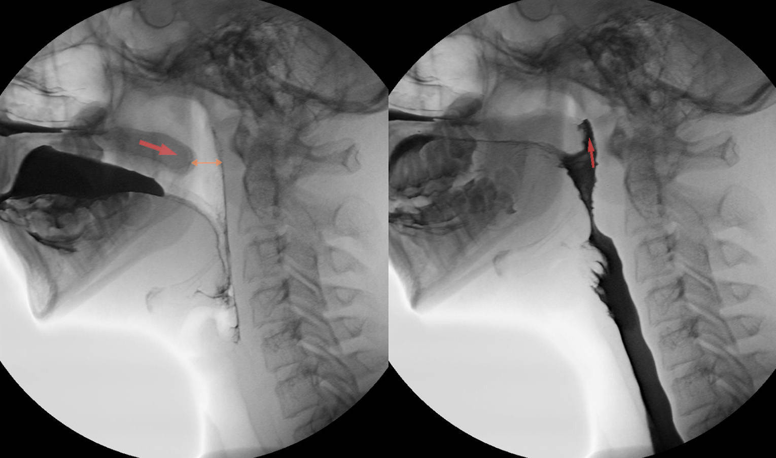
We provided a range of annotation services, such as landmark annotations, disease-wise annotations, and pixel-wise segmentation. Depending on the needs of the AI models being created, each category had a different purpose. Our careful annotation approach made sure that the training data was accurate and complete, which improved model performance. We had experience annotating a wide range of disease pathologies, including coronary artery calcification and obstructive hydrocephalus. We have an experienced team with numerous years of experience to carry out precise annotations and contribute to the development of excellent AI models.
The AI data annotation process involves adding meaningful labels to raw data — text, images, video, or audio — that machine learning models can comprehend. Think of it when you’re teaching AI to recognize an object in a photo, the feeling in the text, the spoken words, etc. This is the foundation upon which AI applications in various domains like healthcare, finance, e-commerce, autonomous vehicles, and others strongly rely. The more accurately you annotate, the more intelligent and accurate the AI. Combining expert human annotators with AI-assisted data labelers guarantees quality, offsets the odds of mistakes, and hastens the adaptation of the model for practical uses.
Importance of AI Data Annotation in Machine Learning
AI data annotation plays a vital role in enhancing machine learning models. Without high-quality annotated data, AI systems cannot differentiate between various objects or make accurate predictions. This is particularly important in sectors like healthcare, where medical image annotation helps in detecting diseases accurately.
Types of AI Data Annotation
-
Medical Image Annotation
In the healthcare sector, medical image annotation is extensively used to train AI models for detecting disease, analyzing radiology, and processing pathology images. By accurately labeling medical images, AI can help doctors quickly and accurately diagnose conditions.
-
Medical Data Annotation
Medical data annotation focuses on labeling clinical datasets, patient records and diagnostic reports. By structuring unorganized medical information, it allows easier access of AI-led healthcare solutions.
-
AI Image Annotation
AI image annotation is a process of adding metadata to digital images enabling AI technology to identify and classify objects in images quickly. Examples of such annotations are important in applications such as facial recognition, object detection, and self-driving cars.
-
Annotation AI
AI Annotation is the automated tool and software to use the labeling of large datasets. A. However, this process is time-consuming and error-prone but with the evolution of AI, annotation processes have started to minimize manual efforts and increase the accuracy of data.
-
Annotation Companies
This is the reason each annotation companies are specialized in data annotation. Massive organizations hire global workforces and deploy state-of-the-art AI tooling to accurately annotate data that fits cleanly into the models that an ML engineer with an average of 8 years of experience will eventually build.

-
Image Annotation — a task in Machine Learning
This means the property of labeling images for your AI training datasets. This exposes AI models to learn to identify different components in an image which allows for a higher accuracy in usage for areas such as surveillance, medical imaging, and robotics.
-
Advantages of AI Data Annotation
Improved Accuracy of AI Models: Annotated data facilitates the fine-tuning of AI models, leading to improved accuracy in real-world scenarios.
-
Better Decision-Making
Well-annotated data helps train AI models that provide better insights for businesses and industries, leading to well-informed decision-making.
-
Increased Automation and Efficiency
AI-enabled annotation tools can significantly reduce the time needed to label data, minimizing manual effort and driving increased efficiency.
-
Domain-Specific Applications:
Across domains like medical diagnostics, autonomous driving, etc., AI data annotation is required.
The Role of Annotation Companies in AI Data Annotation
Annotation companies play a significant role in the AI industry by offering specialized data labeling services. These companies employ a combination of manual and AI-driven annotation techniques to ensure precision. Their services cater to industries such as:
- Healthcare (Medical image annotation, medical data annotation)
- Retail (Product categorization, customer behavior analysis)
- Automotive (Autonomous vehicle training, road sign recognition)
- Security & Surveillance (Facial recognition, threat detection)

AI Image Annotation Tools
Several AI-powered tools are available on the market to enhance the annotation process. These tools use deep learning algorithms to automate image tagging, making annotation faster and more accurate. Some popular AI image annotation tools include:
- Bounding Box Annotation: Used for object detection in images
- Semantic Segmentation: Labels each pixel in an image for precise categorization
- Keypoint Annotation: Marks specific points in an image, useful in medical image annotation
Challenges in AI Data Annotation
Despite its advantages, AI data annotation presents several challenges:
- Time-Consuming Process: Manual annotation requires significant time and effort.
- High Costs: Hiring skilled annotators and maintaining AI annotation tools can be expensive.
- Quality Control: Ensuring annotation accuracy is critical, as errors can lead to faulty AI predictions.
- Data Privacy: Handling sensitive data, especially in medical fields, requires strict security protocols.
Solutions to Overcome AI Data Annotation Challenges
- Automated Annotation Tools: AI-driven annotation tools can reduce manual efforts and improve efficiency.
- Quality Assurance Checks: Implementing multi-layer verification processes ensures high accuracy.
- Crowdsourcing Annotation: Using multiple annotators and AI-assisted quality control methods improves data reliability.
- Strong Data Security Measures: Ensuring compliance with privacy regulations protects sensitive information.
AI Data Annotation in Future Technologies
With advancements in AI and machine learning, AI data annotation is expected to play a significant role in:
- AI-Powered Healthcare Diagnostics: Enhancing early disease detection with medical image annotation.
- Autonomous Vehicles: Improving road safety by training AI models with annotated traffic data.
- Retail & E-commerce: Enhancing personalized shopping experiences with annotated product data.
- Smart Surveillance Systems: Strengthening security through advanced facial and object recognition technologies.
Choosing the Right AI Data Annotation Partner
To maximize the benefits of AI data annotation, selecting the right annotation company is crucial. Consider the following factors:
- Experience & Expertise: Look for companies with a proven track record in AI data annotation.
- Advanced Annotation Tools: Ensure they use state-of-the-art AI annotation software.
- Scalability & Flexibility: The service provider should be able to handle large datasets efficiently.
- Data Security & Compliance: Confirm they follow strict data privacy and security measures.
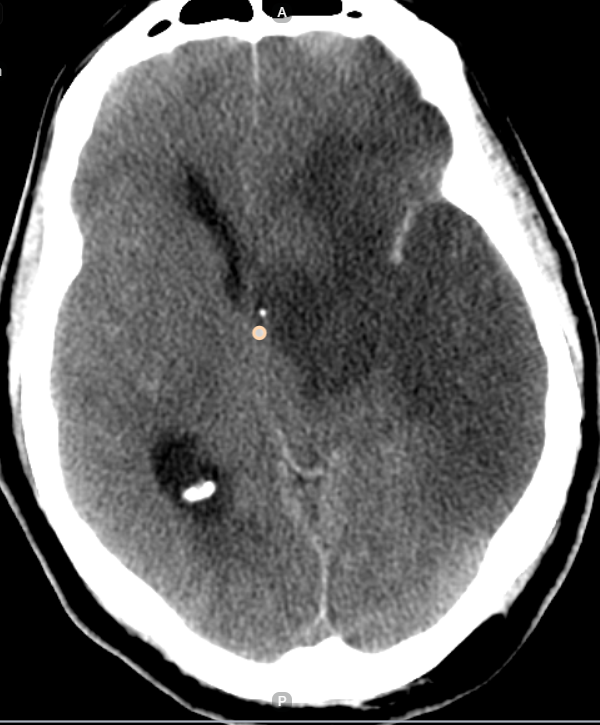
What is Medical Image Annotation?
Medical image annotation is the process of labeling medical images, such as X-rays, MRIs, CT scans, and ultrasound images, to help AI models recognize patterns and abnormalities. This process involves trained radiologists, pathologists, and data annotators who precisely mark anatomical structures, tumors, and other critical elements within medical images.
Importance of Medical Data Annotation in AI Healthcare
Medical data annotation plays a vital role in developing AI-driven healthcare solutions. It helps in:
- Early Disease Detection: AI models trained on accurately annotated medical images can detect diseases like cancer, pneumonia, and neurological disorders at an early stage.
- Improved Diagnostics: Machine learning image annotation enables AI models to analyze medical scans with high precision, reducing diagnostic errors.
- Personalized Treatment Plans: AI-powered imaging solutions assist doctors in planning treatments tailored to individual patients.
- Automation in Radiology: AI image annotation streamlines the radiology workflow, reducing workload and improving efficiency.
Types of Medical Image Annotation
1. Segmentation Annotation
- Identifies and labels different regions within a medical image, such as tumors, organs, and tissues.
- Used in oncology, cardiology, and neurology for precise diagnosis.
2. Bounding Box Annotation
- Draws rectangular boxes around specific areas of interest in medical images.
- Helps in detecting abnormalities like fractures, tumors, and cysts.
3. Polygon Annotation
- Creates detailed annotations for irregularly shaped structures in medical scans.
- Useful in dermatology, ophthalmology, and pathology for accurate disease detection.
4. Keypoint Annotation
- Marks specific points in a medical image, such as joint locations in orthopedic scans.
- Assists in tracking anatomical changes over time.
5. 3D Image Annotation
- Used for volumetric scans like MRI and CT to analyze structures in three dimensions.
- Enhances AI capabilities in complex medical imaging.
Challenges in Medical Data Annotation
- High Precision Requirement: Inaccurate annotations can lead to incorrect diagnoses and treatment decisions.
- Time-Consuming Process: Medical image annotation requires expert knowledge, making it a labor-intensive task.
- Data Privacy and Security: Ensuring compliance with HIPAA and GDPR is essential when handling patient data.
- Lack of Quality Training Data: AI models require large datasets with high-quality annotations for effective learning.
Role of AI in Medical Image Annotation
AI-driven annotation tools are transforming the medical data annotation process by:
- Automating repetitive annotation tasks to improve efficiency.
- Reducing human errors through AI-assisted labeling.
- Accelerating the development of AI-powered medical imaging solutions.
Machine learning depends heavily on AI data annotation because it serves as an essential step for achieving accurate understanding and interpretation of data by AI systems. The three primary annotation requirements comprising medical image annotation, medical data annotation, and machine learning image annotation all need high-quality labeled data. Annotation AI along with annotation companies take a vital part in advancing AI capabilities through ensuring precise and efficient operation within different applications. AI data annotation will continue driving the advancement of efficient and intelligent AI models because of ongoing AI technology progress.
Organizations that follow superior AI data annotation standards can effectively use artificial intelligence technology to develop data-based decisions for their technologically evolving strategies.


