17/09/2025
pareidolia
Lung cancer is one of the most common and deadliest cancers worldwide, responsible for nearly 1.8 million deaths annually. Despite progress in therapies, the late-stage diagnosis and lack of early, accurate detection make treatment extremely challenging. Traditionally, oncologists have relied on imaging, biopsies, and pathology, but these approaches have limitations in sensitivity, speed, and scalability.
Today, artificial intelligence (AI) is transforming lung cancer care — from screening and diagnosis to treatment planning and response monitoring. Technologies such as machine learning, deep learning, and radiomics are helping clinicians detect patterns in data that the human eye may miss.
Companies like Pareidolia Systems LLP are playing a pivotal role in this transformation by providing end-to-end data annotation, AI model development, and healthcare-focused AI solutions that strengthen the fight against lung cancer.
In this blog, we’ll explore how artificial intelligence in lung cancer is reshaping the landscape of cancer care and highlight Pareidolia’s contribution in building AI-driven solutions for better patient outcomes.
The Rising Burden of Lung Cancer
- Lung cancer accounts for nearly 12% of new cancer cases globally.
- More than half of patients are diagnosed only at advanced stages.
- Mortality rates remain high due to late diagnosis and ineffective treatment strategies.
Clearly, innovative tools like AI are essential. Pareidolia Systems LLP believes that to achieve meaningful results in AI healthcare solutions, the foundation lies in high-quality annotated medical data. With precise annotation and segmentation, AI algorithms can be trained to detect subtle imaging signals of lung cancer earlier and more accurately than ever before.
Artificial Intelligence in Lung Cancer: An Overview
Artificial intelligence in lung cancer involves using algorithms to simulate human intelligence, enabling faster and more accurate decisions. These tools can process huge datasets from CT scans, pathology slides, genomics, and clinical records.
- Machine Learning (ML) finds patterns in structured and unstructured data.
- Deep Learning (DL), especially convolutional neural networks (CNNs), excels in medical imaging.
- Radiomics converts images into quantifiable data, revealing features invisible to radiologists.
Pareidolia’s Role: At Pareidolia, our expertise in annotation and segmentation of CT scans and histopathology images provides the essential groundwork for training these algorithms. Without accurately labeled data, AI cannot function effectively in healthcare. Our services ensure that AI models for lung cancer are reliable, bias-free, and clinically relevant.
Artificial Intelligence in Lung Cancer Screening
1. Enhancing Low-Dose CT (LDCT) Scans
LDCT is widely used in lung cancer screening but prone to false positives. AI models trained on annotated datasets can:
- Detect nodules smaller than 3 mm.
- Reduce radiologist workload.
- Minimize unnecessary biopsies.

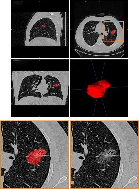
Pareidolia’s Role: We specialize in pixel-level annotation of nodules and abnormalities in chest CT scans. This training data enables AI models to differentiate between benign and malignant growths, making screening programs more accurate and cost-effective.
2. Risk Stratification
AI can combine smoking history, demographics, and genetic data to predict lung cancer risk.
Pareidolia’s structured data solutions ensure clean, annotated patient records that improve the accuracy of such risk models.
Artificial Intelligence in Lung Cancer Diagnosis
1. Radiomics and Imaging
Radiomics extracts features like texture, intensity, and shape from CT and PET scans. AI models use these features to predict tumor type and aggressiveness.
Pareidolia’s Role: We provide detailed segmentation and 3D modeling of tumors, enabling radiomics-based AI systems to achieve higher diagnostic accuracy.
2. Digital Pathology
AI-driven pathology uses deep learning to classify cancerous tissues. These models require thousands of annotated pathology slides.
Pareidolia’s Role: Our annotation teams label histopathology images for cell classification, tumor boundary detection, and subtyping. This helps pathologists and AI work hand in hand for faster diagnosis.
3. Genomics and Molecular Profiling
AI integrates genetic data to identify mutations like EGFR or KRAS that guide targeted therapies.
Pareidolia supports this by preparing annotated genomic datasets that link imaging with molecular insights.
AI in Lung Cancer Treatment Planning
1. Radiation Therapy Optimization
AI can automate tumor contouring, saving oncologists hours.
Pareidolia contributes by producing precise contour annotations for radiation planning systems, helping ensure healthy tissues are spared while tumors are targeted.
2. Chemotherapy and Targeted Therapy
AI predicts which patients will benefit from specific treatments, reducing toxicity risks.
Pareidolia provides annotated datasets that train these predictive models, improving their accuracy.
3. Immunotherapy Predictions
AI helps identify which patients are most likely to respond to immunotherapy.
Pareidolia ensures that annotated imaging and biomarker data are available to train models that personalize immunotherapy decisions.
AI in Monitoring Treatment Response
Monitoring is just as important as diagnosis. AI models can:
- Detect progression earlier than standard methods.
- Differentiate between true progression and pseudoprogression.
- Support adaptive treatment strategies.
Pareidolia’s Role: With expertise in longitudinal data annotation, we help AI track tumor changes over time across multiple imaging sessions, making treatment monitoring more precise.
Challenges of AI in Lung Cancer
- Data Availability: Large, annotated datasets are scarce.
- Bias: Models must generalize across diverse populations.
- Integration: Many hospitals lack infrastructure for AI tools.
- Ethics & Privacy: Secure data handling is critical.
Pareidolia’s Contribution: We address these challenges by:
- Delivering scalable data annotation across imaging, pathology, and genomics.
- Ensuring bias-free datasets by diversifying input sources.
- Maintaining strict data privacy and compliance standards.
Future of Artificial Intelligence in Lung Cancer
The next decade will bring:
- Radiogenomics: Combining imaging and genetics for personalized oncology.
- Real-Time Clinical Decision Support: AI integrated into hospital systems.
- Remote Monitoring via AI: Continuous patient tracking.
- Faster Clinical Trials: AI-assisted recruitment and prediction.
Pareidolia Systems LLP envisions being a long-term partner for healthcare innovators, providing the annotated data backbone and custom AI model development needed to bring these breakthroughs to clinical reality.
The impact of artificial intelligence in lung cancer is undeniable. From screening and diagnosis to treatment planning and monitoring, AI is improving accuracy, speed, and personalization.
But behind every successful AI model lies one essential factor: high-quality annotated data. This is where Pareidolia Systems LLP steps in. By delivering expert data annotation, segmentation, and AI solutions tailored for healthcare, Pareidolia empowers researchers, hospitals, and AI developers to create tools that truly improve patient outcomes.
19/12/2025
pareidolia
3D Printing in Neurosurgery: How Neurologists Use 3D Models for Aneurysm Surgery Planning
As artificial intelligence continues to reshape the healthcare ecosystem, one area seeing rapid advancement is…
Read More
06/12/2025
pareidolia
Top 10 Usages of Medical Image Segmentation Tools in Healthcare AI
AI imaging is reshaping modern healthcare, enabling accurate diagnosis, treatment planning, and clinical decision support.…
Read More
01/12/2025
pareidolia
The Secret Key to Better AI Diagnosis: Why Accurate Segmentation is the best Way to Save Hypodense Lesion Prediction
In today’s medical imaging world, accuracy alone is no longer enough. Healthcare teams need to…
Read More
18/11/2025
pareidolia
The Blueprint for Better Stroke Care:How Pareidolia’s Precise Annotations Are Training Life-Saving AI
In 2025, stroke is the second leading cause of death globally, causing 3.6 million deaths.…
Read More
04/11/2025
pareidolia
Moving Beyond Detection: How Our Annotated Data Helps AI Predict and Stratify Prostate Cancer
Approximately 1.5 million men were diagnosed with prostate cancer globally. Prostate cancer is the fourth…
Read More
